Vaš nasmeh je
naša vizitka.
Dr. Aida Tihić Mujezinović z ekipo združuje 25+ let izkušenj in nežen pristop za vaše popolno ustno zdravje.

Naročanje v letu 2026
Naročite se lahko:
• Po telefonu: pon-tor 12:00-16:00, sre-pet 7:30-11:30
• Neposredno v ambulanti v ordinacijskem času
• Preko elektronske pošte
Nujna stanja
Sprejemamo vsak dan prvo uro ordinacijskega časa.
Nujna stanja so:
• MOČAN ZOBOBOL (huda stalna bolečina, ko tablete ne pomagajo)
• OTEKLINA (vidna ali z ognojkom, težko odpiranje ust/požiranje, vročina)
• KRVAVITVE (po puljenju zob)
• POŠKODBE (področje zob in čeljusti - oskrba v 24h)
Storitve preko ZZZS
Kakovostna zobozdravstvena oskrba v okviru javnega zavarovanja.

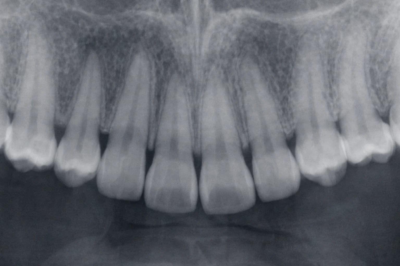
Celotni stomatološki pregled in diagnostika
Natančna diagnostika z uporabo najsodobnejše rentgenske tehnologije.

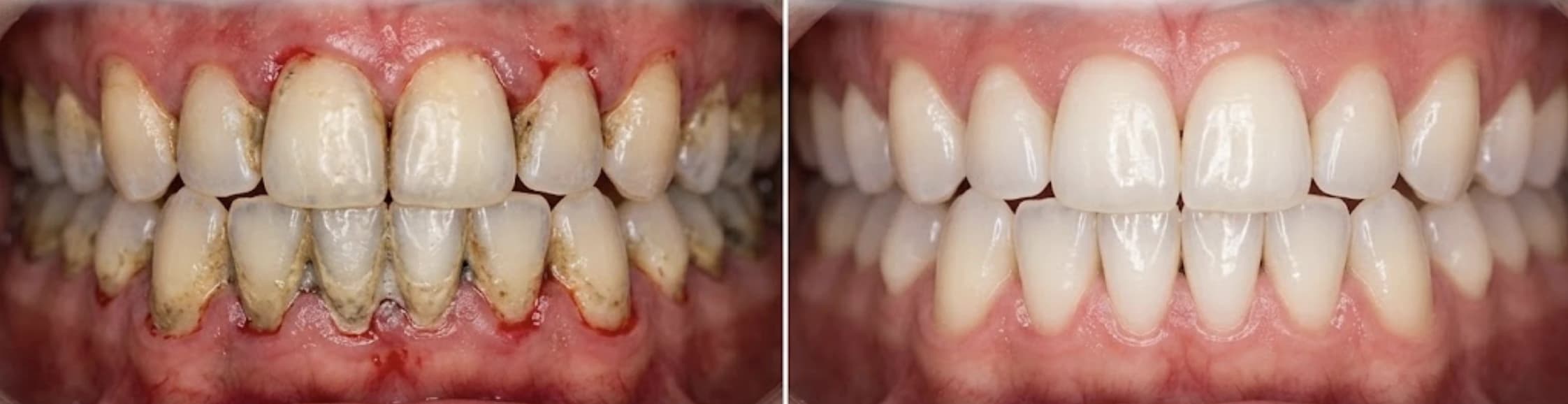
Preventiva in higiena
Redni pregledi, odstranjevanje zobnega kamna in peskanje za dolgotrajno zdravje.

Parodontologija
Zdravljenje bolezni dlesni in obzobnih tkiv za ohranitev vaših zob.

Splošno zobozdravstvo
Celostna skrb za zdravje vaših zob, zdravljenje kariesa in endodontsko zdravljenje.

Oralna kirurgija
Brezbolečinska izdrtja modrostnih zob in ostali kirurški posegi v lokalni anesteziji.

Zobna protetika
Vrhunske fiksne in snemne rešitve: prevleke, mostički in proteze.
Samoplačniške storitve
Vrhunski materiali in krajše čakalne dobe za vaš popoln nasmeh.

Implantologija
Trajna rešitev za manjkajoče zobe z uporabo priznanih implantatnih sistemov.

Estetsko zobozdravstvo
Beljenje zob, porcelanske luskine in estetske zalivke za vaš popoln nasmeh.

Medicinska hipnoza
Premagajte strah pred zobozdravnikom s pomočjo varne in učinkovite medicinske hipnoze.
Spoznajte našo ekipo
Kontakt in Naročanje
Vse poti do vašega novega nasmeha.
Telefonsko naročanje
Vsak delovnik: PON, TOR: 12:00 – 16:00 | SRE, ČET, PET: 07:30 – 11:30
Zagotovljeno brezplačno parkirišče. Dostop za invalide urejen (pritličje).




